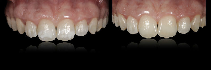
Sbiancamento denti vitali