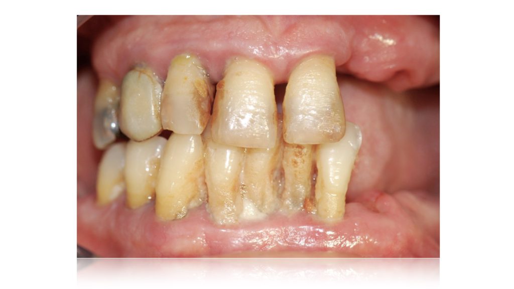
Protesi totale: caso 1