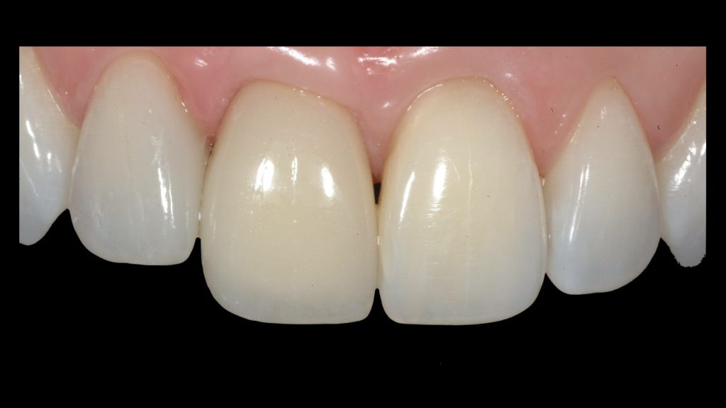
Protesi fissa: caso 8