Endodonzia: caso 1

Primo molare inferiore sinistro con otturazione profonda in amalgama di argento andato in contro a necrosi ed ascesso alveolare acuto. Prima del trattamento si nota la vasta area radiotrasparente (“nera”) attorno all’elemento dentario indicante l’infezione batterica. Il paziente riferisce forti dolori.Le opzioni terapeutiche sono la estrazione dell’elemento dentario oppure la cura canalare che ha l’obbiettivo di salvare il dente.(immagine 1)
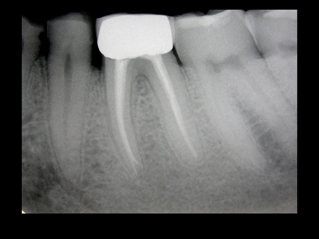
D’accordo col paziente viene effettuata la terapia canale che rimuove i batteri causa dell’infezione dall’interno del dente (immagini 2-3).
Nei successivi controlli a distanza, si nota la completa guarigione con scomparsa della radiotrasparenza..( assenza di aree “nere”).(immagine 4)